
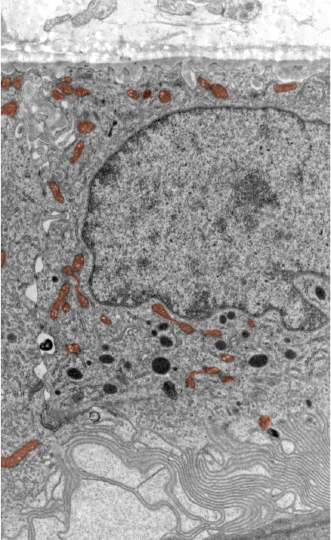
Mitochondria, shown here in brown in this electron micrograph, provide the energy a cell needs to function.
Metabolism encompasses all of the biochemical processes that occur in a person’s body to maintain life. It involves building and breaking down substances to make the molecules and enzymes the body needs to survive and function. Metabolism results in energy transfers that make new substances, power the body, and generate heat.
Every tissue has unique metabolic demands. Some parts of the body require more energy and nutrients to operate than do other parts of the body. The retina is a highly metabolic tissue, and one that experiences unique stresses due to its function as a light-sensing tissue. Defects in metabolism contribute to age-related neurodegenerative diseases, and could play a role in MacTel. The Lowy Medical Research Institute has a research program dedicated to the study of metabolism in the retina in general, and in MacTel patients specifically.
Researchers affiliated with LMRI are investigating several aspects of metabolism that could be relevant to MacTel. They are investigating how energy and substrates are transferred between cell types in the retina. Not much is known about metabolism in the retina, and tracing metabolites as they progress through metabolic pathways will lead to a better understanding of how different cells in the retina function, together. It will also lead to an understanding of what a defect in a particular cell type will mean to other cells in the retina. These could all provide clues to disease.
LMRI is also looking for metabolic clues in patients. This involves blood tests on MacTel patients and unaffected individuals, to determine if there are abnormal levels of specific energy substrates in MacTel patients. This could provide clues to specific metabolic pathways that are dysregulated in MacTel.
In summary, LMRI is working to determine if metabolic dysfunction is a contributing factor to the development or progression of macular telangiectasia type 2.